Before and After

Smile Gallery

Welcome to the Roots Dental Smile Gallery! Our team is dedicated to creating healthy, confident smiles using the latest treatment techniques. Take a look at our beautiful transformations to see how our dental professionals can help give you the smile of your dreams!

Veneers

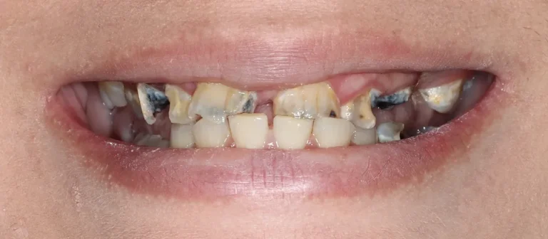
Before After Close-up of severely decayed and stained teeth before treatment at Roots Dental, emergency dentist in Bellingham.Close-up of restored teeth after treatment at Roots Dental, cosmetic and emergency dentist in Bellingham.
Before After Close-up of damaged, stained, and decayed teeth before cosmetic dental treatment at Roots Dental in Bellingham.Close-up of restored, natural-looking teeth after cosmetic dental treatment at Roots Dental in Bellingham.
Before After Close-up of severely decayed and broken teeth before restorative dental treatment at Roots Dental in Bellingham.Beautiful smile after full-mouth restoration at Roots Dental in Bellingham.
Before After Before cosmetic dental treatment showing stained and uneven teeth at Roots Dental in Bellingham.After cosmetic dentistry at Roots Dental in Bellingham showing bright, even, natural-looking teeth.
Before After Before cosmetic dentistry at Roots Dental in Bellingham showing stained and uneven teeth.After cosmetic dentistry at Roots Dental in Bellingham showing bright, even teeth.
Before After Before dental treatment showing damaged, discolored, and missing teeth at Roots Dental in Bellingham.After full smile restoration with natural-looking dental crowns at Roots Dental in Bellingham.